파주산재노무사(문산읍-파주읍-법원읍-조리읍-월롱면)
직업병 산재 전문 임준철노무사입니다.
오늘은 금속제품 가공·도장 작업에서 자주 사용되는 ‘에나멜 시너’(Enamel thinner) 와
그 안에 포함된 벤젠(Benzene) 이 장기간 노출되어 발생한 골수형성이상증후군(Myelodysplastic Syndrome, MDS) 이
업무상 질병으로 인정된 실제 사례를 소개드리겠습니다.
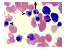
1️⃣ 골수형성이상증후군이란?
골수는 뼈 속에 위치해 적혈구, 백혈구, 혈소판을 만들어내는 기관입니다.
하지만 골수 기능이 손상되면 정상 혈액세포를 충분히 생산하지 못하게 되어,
결국 빈혈·감염·출혈 등의 증상을 일으키게 됩니다.
이러한 질환군을 통틀어 ‘골수형성이상증후군(MDS)’ 이라고 부릅니다.

💬 주요 증상
- 백혈구 감소 → 잦은 감염, 폐렴, 발열
- 적혈구 감소 → 피로감, 창백, 호흡곤란
- 혈소판 감소 → 멍, 잇몸 출혈, 뇌출혈 위험
이 질환은 고령층에서 주로 발생하지만,
벤젠·전리방사선·포름알데히드 등 특정 유해물질에 장기간 노출될 경우
업무상 질병(직업성 혈액암)으로도 발생할 수 있습니다.
2️⃣ 사례 개요
- 근로자 경력: 1968~1970년 생산직 → 2년간 주물 용해 작업
- 1980~2002년: 금속 압출·단조 공정 근무
- 2004~2014년: 원료 상하차 및 ‘드럼통 도장(칠)’ 작업 수행
- 2013년: 대학병원에서 골수검사 결과 MDS(골수형성이상증후군) 진단
해당 근로자는 40년 가까운 제조업 종사 경력 중
특히 2000년대 이후 수행한 도장(에나멜 시너 사용) 공정에서
지속적으로 벤젠에 노출된 것으로 조사되었습니다.
3️⃣ 작업환경 및 노출 수준
조사 결과, 재해자는 용해·주입·드럼통 재활용 도장 작업을 반복 수행했습니다.
📌 노출 환경 요약
- 사용 제품: 에나멜 시너 (Enamel thinner)
- 성분 분석: 벤젠 함유량 약 0.2~0.7% 검출
- 벤젠 노출량 추정치: 약 2.53ppm·년 이상
- 환기 설비 미흡, 재활용 드럼 내부에 증기 잔류

즉, 재해자는 통상적인 기준보다 높은 수준의 벤젠 농도에
오랜 기간 반복적으로 노출되어 있었습니다.
특히 용해 및 인발 공정에서도 벤젠 부산물이 발생했을 가능성이 있어
누적 노출 수준은 추정치보다 훨씬 높을 것으로 평가되었습니다.
4️⃣ 산업안전보건연구원의 조사 결과
근로복지공단의 의뢰로 산업안전보건연구원(KOSHA)이 수행한 역학조사에서
다음과 같은 결론이 도출되었습니다.
1️⃣ 업무 중 벤젠 함유 시너 사용이 명확히 확인됨
2️⃣ 누적 노출량이 2.53ppm·이상으로 산정됨
3️⃣ 기타 공정(용해, 인발 등)에서도 벤젠 부산물 발생 가능성이 높음
4️⃣ 따라서 질병과 업무 간의 인과관계가 상당하다는 평가 결과
이 결과에 따라 근로복지공단은
해당 근로자의 골수형성이상증후군을 업무상 질병(산재) 으로 최종 인정했습니다.
5️⃣ 골수형성이상증후군과 직업적 노출
국내 중앙암등록본부 통계(2022)에 따르면
2020년 한 해 동안 발생한 골수형성이상증후군은 **전체 암의 약 0.5%**를 차지합니다.
📍 직업적 원인으로 알려진 주요 요인
- 벤젠(Benzene) → 페인트, 시너, 용제, 세척제 등
- 전리방사선 → 원전·방사선 취급 업무
- 포름알데히드(Formaldehyde) → 실험실, 가구 제조, 방부제 등
- 트리클로로에틸렌(TCE) → 금속 세척제, 세정 공정
이처럼 화학물질이나 방사선에 장기간 노출되는 환경이라면
연령이나 개인 습관과 무관하게 직업병으로 인정받을 수 있습니다.
이번 사례는 시너와 같은 도장용 화학물질을 장기간 취급한 근로자에게서
골수 질환이 발생한 경우, 그 원인이 단순한 체질이나 생활습관이 아닌 업무환경의 유해요인일 수 있음을 명확히 보여줍니다.
또한 벤젠은 극미량이라도 반복적으로 흡입되면 골수세포에 손상을 일으켜 혈액암·골수암·MDS 등으로 발전할 수 있습니다.
골수형성이상증후군은 발병 초기 증상이 모호해 단순 피로로 오해하기 쉽습니다.
그러나 과거 유해물질에 노출된 이력이 있다면, 지금이라도 의학적 진단과 산재 상담을 병행하는 것이 좋습니다.
'직업병 산재전문' 카테고리의 다른 글
| (시흥산재노무사)대퇴골두 무혈성 괴사로 인한 인공관절수술 산재 인정 사례 (1) | 2025.11.18 |
|---|---|
| (의정부산재노무사)배송기사 척추전방전위증 산재 인정 사례 (0) | 2025.11.17 |
| (남양주산재노무사)7년 경력 조리원, 양측 무릎 인공관절 수술 산재로 인정 (1) | 2025.11.11 |
| (고양산재노무사)화학분석 연구원에게 발생한 구강암 산재 인정 사 (0) | 2025.11.10 |
| 출퇴근 중 사고, 산재로 인정될 수 있을까? (1) | 2025.11.06 |



